Specjalista Chirurgii Stomatologicznej
Katarzyna Krzeszowiak
Specjalista Chirurgii Stomatologicznej
Katarzyna Krzeszowiak
Jestem lekarzem dentystą, specjalistką chirurgii stomatologicznej i pasjonatką swojej pracy. Na codzień wykonuję zabiegi, które pomagają moim pacjentom odzyskać zdrowy i piękny uśmiech.
Wykonuję zabiegi z zakresu implantologii oraz implantoprotetyki, pokrywam recesje dziąseł stosując techniki mikrochirurgii periodontologicznej, a także usuwam zatrzymane zęby mądrości, w tym przeprowadzam zabiegi germektomii u dzieci, przygotowuję chirurgicznie pacjentów do leczenia ortodontycznego oraz zajmuję się usuwaniem zmian błony śluzowej i zmian kości.


Dla pacjentów…
Dla pacjentów…
Jestem specjalistką chirurgii stomatologicznej z doświadczeniem w implantologii oraz estetycznej chirurgii periodontologicznej. Moją misją jest dokładna, kompleksowa diagnostyka pacjenta i zindywidualizowane, dopasowane do potrzeb pacjenta leczenie przy wykorzystaniu najnowocześniejszych technik i materiałów.
Stale podnoszę swoje kwalifikacje uczestnicząc w kongresach i kursach na całym świecie. Zabiegi specjalistyczne wykonuję w powiększeniu i korzystam z nawigacji komputerowej, szablonów chirurgicznych, a także pracuję z użyciem piezochirurgii oraz fibryny bogatopłytkowej(PRF). Specjalizuję się w wykonywaniu zabiegów z zakresu implantologii, implantoprotetyki, chirurgii periodontologicznej – pokrywania recesji dziąsłowych oraz klasycznych zabiegów z zakresu chirurgii stomatologicznej np. usuwaniu zębów mądrości, germektomiach, wyłuszczaniu torbieli i usuwaniu zmian błony śluzowej jamy ustnej.
Stale podnoszę swoje kwalifikacje uczestnicząc w kongresach i kursach na całym świecie. Zabiegi specjalistyczne wykonuję w powiększeniu i korzystam z nawigacji komputerowej, szablonów chirurgicznych, a także pracuję z użyciem piezochirurgii oraz fibryny bogatopłytkowej(PRF). Specjalizuję się w wykonywaniu zabiegów z zakresu implantologii, implantoprotetyki, chirurgii periodontologicznej – pokrywania recesji dziąsłowych oraz klasycznych zabiegów z zakresu chirurgii stomatologicznej np. usuwaniu zębów mądrości, germektomiach, wyłuszczaniu torbieli i usuwaniu zmian błony śluzowej jamy ustnej.




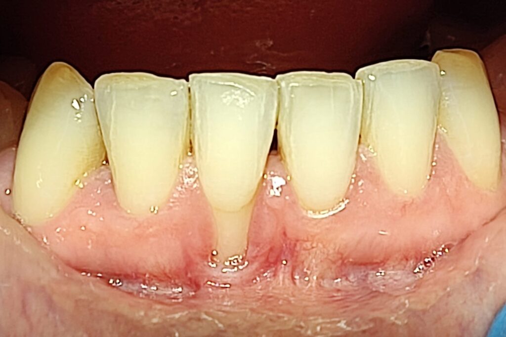
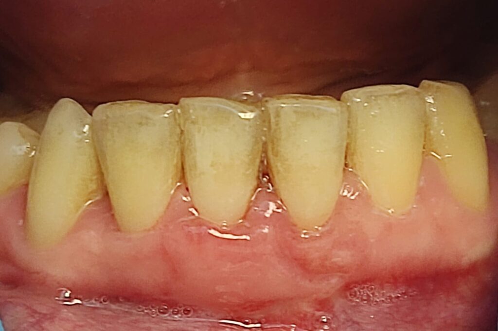
Galeria uśmiechów
Uśmiech to najlepsza wizytówka, a w tej galerii mogą Państwo zobaczyć efekty metamorfoz, które miałem przyjemność przeprowadzić. Każdy przypadek to indywidualna historia i dowód na to, jak nowoczesna implantologia może przywrócić pewność siebie i komfort życia. Zapraszam do zapoznania się z rezultatami mojej pracy – niech te uśmiechy będą inspiracją do własnej zmiany!






Moje certyfikaty
Moje certyfikaty
Implantologia to dynamicznie rozwijająca się dziedzina, dlatego nieustannie podnoszę swoje kwalifikacje, uczestnicząc w specjalistycznych szkoleniach i kursach. Każdy zdobyty certyfikat to potwierdzenie mojej wiedzy i umiejętności, które przekładają się na bezpieczeństwo oraz precyzję leczenia. Stawiam na nowoczesne technologie i sprawdzone metody, aby zapewnić pacjentom najwyższą jakość usług. Moje zaangażowanie w rozwój to gwarancja, że otrzymują Państwo leczenie zgodne z najnowszymi światowymi standardami. Zachęcam do zapoznania się z moimi certyfikatami, które świadczą o mojej pasji i doświadczeniu w implantologii. Wybierając mnie, mają Państwo pewność, że trafiają w ręce specjalisty, dla którego ciągłe doskonalenie to priorytet.
Stale podnoszę swoje kwalifikacje, uczestnicząc w zaawansowanych szkoleniach i kursach z zakresu implantologii. Moje certyfikaty to dowód na zaangażowanie w nowoczesne i skuteczne metody leczenia. Zapraszam do zapoznania się z nimi, aby mieć pewność, że trafiają Państwo w ręce doświadczonego specjalisty.
Opinie
Opinie
Sprawdź opinie moich pacjentów na Znanym Lekarzu i przekonaj się, dlaczego warto mi zaufać. Twój komfort i satysfakcja są dla mnie najważniejsze, dlatego każda opinia jest dla mnie cenna. Jeśli byłeś u mnie na wizycie, podziel się swoim doświadczeniem – pomożesz innym podjąć dobrą decyzję!

Najczęściej zadawane pytania
Najczęściej zadawane pytania
Czy wszczepienie implantu boli?
Zabiegi implantacji wykonuję w znieczuleniu i są one całkowicie bezbolesne. Zabieg implantacji, czyli wszczepienia implantu jest lepiej tolerowany przez pacjentów niż usunięcie zęba.
Czy przeszczep dziąsła boli?
Zabiegi pokrywania recesji dziąsłowych to cała gama zabiegów, które są indywidualnie planowane dla każdego pacjenta w zależności od warunków miejscowych. Sam zabieg jest wykonuję w znieczuleniu miejscowym i nie boli. Miejscem, które może dawać dolegliwości bólowe po zabiegu jest podniebienie, z którego pobieram tkankę do pokrycia odsłoniętego korzenia, jednak leki przeciwbólowe stosowane przez pacjenta odpowiednio po zabiegu zredukują ból i dyskomfort.
Co to jest PRF, czyli fibryna bogatopłytkowa?
Jest to specjalny materiał poprawiający gojenie i zmniejszający ból po zabiegu pozyskiwany z krwi pacjenta przez odwirowanie.
Tuż przed zabiegiem pobieram od pacjenta krew do specjalnych sterylnych probówek, które trafiają do wirówki. Po około 12 minutach uzyskujemy autologiczny materiał bogaty w czynniki przyspieszające gojenie i zmniejszające ból pozabiegowy oraz zmniejszający ryzyko powstania suchego zębodołu. Ten materiał zakładamy do miejsc pozabiegowych i zaszywamy.
Ile trwa usunięcie zatrzymanego zęba mądrości?
Zazwyczaj usuwam zęby mądrości w 15-30 minut jednakże zdarzają się szczególnie trudne zatrzymane ósemki i wtedy możliwe jest wydłużenie zabiegu do 1h.
Skontaktuj się ze mną
Skontaktuj się ze mną
























































